향후 3년간 임상현장 사용 가능

[서울와이어 정윤식 기자] 뷰노는 AI 기반 흉부 X-ray 판독 및 소견 검출 의료기기 VUNO Med-Chest X-ray(이하 Chest X-ray)가 6월 1일부터 비급여 시장 진입이 가능해졌다고 15일 밝혔다.
뷰노에 따르면 Chest X-ray는 안전성과 진료 현장에서의 잠재적 유용성을 인정받은 의료 AI 솔루션이다. 이 제품은 보건복지부의 혁신의료기술 관련 고시 확정에 따라 오는 6월 1일부터 2028년 5월 31일까지 3년간 임상 현장에서 사용이 가능해졌다.
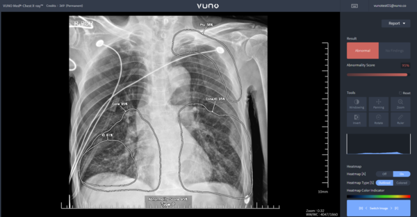
Chest X-ray는 흉부 X-ray 영상을 분석해 5개의 이상 소견(결절, 경화, 간질성 음영, 흉막 삼출, 기흉) 유무를 검출하고 소견 조합을 통해 2개 질환(폐렴, 폐결핵)을 선별하는 진단 보조 소프트웨어이다.
의료기관은 한국보건의료연구원(NECA)에 신고 및 접수를 통해 Chest X-ray의 실시기관이 될 수 있다. 또한 실시 의료기관에 근무 중인 의사라면 누구나 신고 후 Chest X-ray 비급여 청구가 가능하다.
혁신의료기기 통합심사·평가는 보건복지부와 식품의약품안전처 주관으로 인공지능(AI)·빅데이터 기술, 디지털·웨어러블 기술을 활용한 혁신의료기기가 의료현장에서 신속하게 사용될 수 있도록 하는 제도다.
이예하 뷰노 대표는 “이번 고시를 통해 Chest X-ray가 의료현장에서 실제로 활용되며 더 많은 환자들이 폐, 심장 관련 질환을 조기에 정확하게 진단받을 수 있게 되기를 기대한다”며 “실사용 데이터를 기반으로 향후 신의료기술평가 통과 및 건강보험 수가 진입을 위한 근거 마련에 최선을 다하겠다”고 말했다.
- 뷰노, 1분기 영업손실 34억원⋯전년비 11% 개선
- 뷰노, 심정지 예측 AI 솔루션 유럽 CE MDR 인증 획득
- 뷰노, 대한중환자의학회 정기학술대회서 'DeepCARS' 소개
- 뷰노, 최고전략책임자로 김택수 전 삼성종기원 그룹장 영입
- 뷰노, 의료 AI 기업들과 'AI 의료 사업' 업무협약 체졀
- '건보 취득' 중국인·베트남인 급증… 내국인은 3만명 감소
- 뷰노, '급성심근경색 조기 탐지 AI 모델' 연구 결과 국제학술지 게재
- 뷰노, 아주대의료원과 의료 인공지능 공동연구·인재양성 협약
- 뷰노, 미 컨퍼런스서 심정지 예측 의료기기 'DeepCARS' 소개
- 뷰노, 콩팥기능 저하 선별 AI 의료기기 식약처 허가 획득
- 뷰노, 이예하 대표 대한상공회의소 AI 토크쇼 참여
